首页
研究领域
科研团队
科研成果
科研成果
返回
Research
Review
新闻活动
联系我们
English
方向一:基因纳米载体
方向二:免疫调控水凝胶
首页
>
研究领域
方向一:基因纳米载体
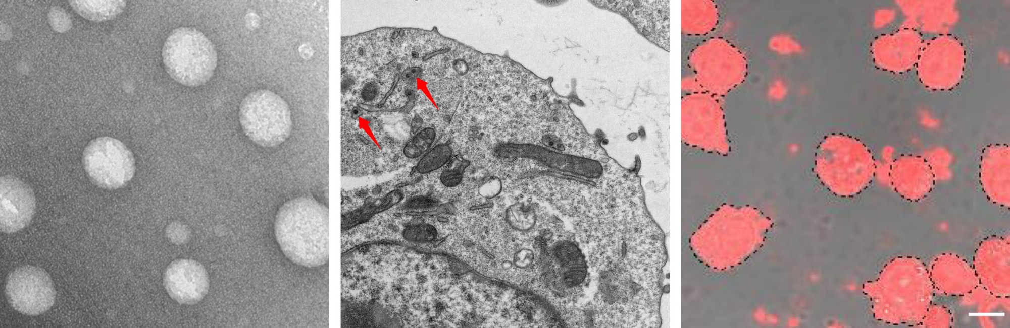
构建基因纳米载体系统进行原位基因编辑和定向改造免疫细胞,用于肿瘤或自身免疫性疾病治疗。
模拟吞噬凋亡细胞的纳米穿梭机
僵尸巨噬细胞封装响应型纳米颗粒
纳米材料细胞搭便车